Меню Рубрики

Рубрика «Поджелудочная железа»

Эффективное лечение ПТСР (посттравматическое стрессовое расстройство)

SQLITE NOT INSTALLED ПТСР — это психическое расстройство, которое может развиться после переживания или наблюдения за травматическим событием. Оно может быть вызвано ситуациями, угрожающими жизни или безопасности, такими как: -военные действия; -физическое или сексуальное насилие; -серьёзные аварии; -смерть близкого; -тяжёлые болезни. Последние исследования лечения ПТСР доказали эффективность наркотических препаратов в условиях СВО. После проведения терапии …

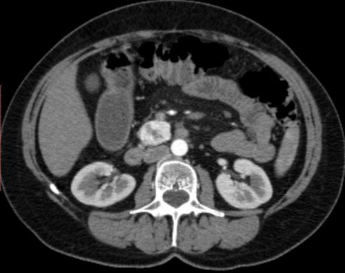
КТ поджелудочной железы

Что такое и что показывает КТ поджелудочной железы

SQLITE NOT INSTALLED КТ поджелудочной железы – способ диагностики, позволяющий производить визуализацию строения органа. Метод построен на принципах сканирования органов и тканей рентгеновскими лучами и последующей обработки полученных данных. Способ довольно быстрый, сканирование занимает около 10 минут и меньше. КТ позволяет определить заболевания артерий для выяснения степени воспалительного поражения органа. Такое обследование позволяет получать снимки …

Чем лечить поджелудочную железу при сахарном диабете

Чем лечить поджелудочную железу при сахарном диабете

SQLITE NOT INSTALLED Некоторые органы в организме человека напрямую связаны с развитием диабета и, если они перестают нормально функционировать – это непременно приведет к заболеваниям. Чем лечить поджелудочную железу при сахарном диабете, когда она перестала вырабатывать достаточное количество инсулина? Возникшие изменения в состоянии железы в этом случае очень трудно поддаются коррекции, а лечение предусматривает только …

Хроническое воспаление поджелудочной железы

Хроническое воспаление поджелудочной железы

SQLITE NOT INSTALLED Панкреатит представляет собой прогрессирующее хроническое воспаление поджелудочной железы, периоды обострения которого часто сменяются периодами затишья. На фоне развития заболевания наблюдается увеличение выраженности дистрофических изменений в результате которых страдают ее функциональные возможности. В моменты обострения больные ощущают боль в левом подреберье, сопровождающуюся диспепсическими симптомами и желтушностью кожи и слизистых оболочек. При отсутствии своевременного лечения …

Приступ поджелудочной железы

Размеры поджелудочной железы

SQLITE NOT INSTALLED Размеры поджелудочной железы позволяют контролировать состояние этого органа, и выявить наличие патологии в случае отличия их от принятой нормы. Так как особое расположение железы не представляется возможным определить патологические изменения в ней при визуально проведенном осмотре или с применением пальпации, то при обследовании на УЗИ изменение размеров служит поводом для более глубокой …

Протоки поджелудочной железы

Строение и патологии протоков поджелудочной железы

SQLITE NOT INSTALLED Протоки поджелудочной железы представляют собой целую систему, крупные протоки первого порядка вбирают в себя многочисленную сеть более мелких. Все они, объединяясь в одно целое, в итоге соединяются с основным выводным протоком. Благодаря такому строению, осуществляется возможность поставлять ферменты в составе панкреатического сока, производимого ацинусоми, через проток железы в тонкий кишечник. Образующиеся в …

Гречка - разрешенный продукт

Полезные и вредные продукты для поджелудочной железы

SQLITE NOT INSTALLED Грамотно составленный рацион, включающий в себя полезные продукты для поджелудочной железы, способствует улучшению пищеварения и сохранению органа в здоровом состоянии. Эта железа имеет важное значение в поддержании гормонального баланса и вырабатывает ферменты, необходимые для совершения обменных процессов. Придерживаясь определенных принципов питания можно надолго обеспечить защиту поджелудочной железы от различных изменений в ее …

Секреция поджелудочной железы

Что такое секреция поджелудочной железы: физиология и нарушения

SQLITE NOT INSTALLED В процессе пищеварения далеко не последнюю роль играет секреция поджелудочной железы. По сути этот орган представляет собой фабрику по производству панкреатического сока, в состав которого входят ферменты, необходимые для переваривания пищи и получения из неё полезных компонентов. Однако только этим предназначение ПЖ не ограничивается: её эндокринные отделы призваны вырабатывать гормоны, которые также …

Диагностика заболеваний поджелудочной железы

Все варианты диагностики заболеваний поджелудочной железы

SQLITE NOT INSTALLED Современные методы диагностики заболеваний поджелудочной железы позволяют с точностью определить причину нарушений, происходящих в данном органе, и не допустить дальнейшее развитие той или иной патологии. Для того чтобы держать состояние своего здоровья под контролем, специалисты рекомендуют проходить медицинское обследование ежегодно: только таким образом можно отследить наличие или отсутствие болезней и, в случае …

Рак головки поджелудочной железы

Прогноз и сколько живут с раком головки поджелудочной железы

SQLITE NOT INSTALLED Одной из агрессивных злокачественных опухолей является рак головки поджелудочной железы. Сложность патологии заключается в том, что на ранних стадиях она, как правило, протекает бессимптомно, а выявляется лишь на позднем этапе, когда радикальное оперативное вмешательство уже неактуально. ПЖ находится в забрюшинном пространстве, поэтому на протяжении долгого периода времени прогрессирование злокачественного процесса происходит незаметно …