Меню Рубрики

Рубрика «Разное»

Регулярные обследования при заболеваниях ЖКТ: почему они так важны?

Регулярные обследования при заболеваниях ЖКТ: почему они так важны?

SQLITE NOT INSTALLED Проблемы с желудочно-кишечным трактом (ЖКТ) порой могут стать настоящим испытанием для организма и качества жизни. Многие из нас не придaют должного значения симптомам вроде изжоги, боли в животе или нарушений пищеварения, списывая все на стресс или неправильное питание. Между тем, регулярные обследования при заболеваниях ЖКТ — это не просто формальность, а ключ …

Мониторинг состояния пациентов: современный взгляд на важную задачу

Мониторинг состояния пациентов: современный взгляд на важную задачу

SQLITE NOT INSTALLED Мониторинг состояния пациентов — одно из главных звеньев в цепочке современной медицины. Он помогает врачам вовремя заметить перемены в самочувствии, скорректировать лечение и предотвратить развитие опасных ситуаций. В повседневном медицинском мире, где каждая минута может иметь решающее значение, этот процесс становится незаменимым инструментом. Давайте разберемся, что же входит в понятие мониторинга, какие …

Функциональные исследования ЖКТ: как понять работу нашей пищеварительной системы

Функциональные исследования ЖКТ: как понять работу нашей пищеварительной системы

SQLITE NOT INSTALLED Пищеварительная система — это целый мир внутри нас, тихий и незаметный, пока не начнёт подавать сигналы тревоги. Часто, сталкиваясь с дискомфортом, мы пытаемся понять, что же именно происходит в желудке или кишечнике. Именно здесь на помощь приходят функциональные исследования ЖКТ, которые позволяют заглянуть внутрь организма без операции и понять, как работают его …

Как выбрать гастроэнтеролога: что важно знать при выборе врача для лечения ЖКТ

SQLITE NOT INSTALLED Современный человек часто сталкивается с заболеваниями желудочно-кишечного тракта (ЖКТ). Неправильное питание, стресс, малоподвижный образ жизни, бесконтрольный прием лекарств — всё это негативно сказывается на работе пищеварительной системы. Поэтому грамотный гастроэнтеролог становится ключевой фигурой в поддержании здоровья и улучшении качества жизни. Выбор гастроэнтеролога — это ответственное решение, от которого во многом зависит не …

Лечение позвоночника без лекарств и операций: метод Бубновского для эффективного восстановления

SQLITE NOT INSTALLED Когда болит спина, часто кажется, что выход только один — таблетка или хирургическое вмешательство. Но что если мы скажем вам, что есть другой путь? Лечение позвоночника без лекарств и операций — это не фантастика, а реальность. Именно этот подход помогает избавиться от боли и вернуть утраченную подвижность, не прибегая к операции и …

Генетическое тестирование при заболеваниях ЖКТ: что, зачем и как?

Генетическое тестирование при заболеваниях ЖКТ: что, зачем и как?

SQLITE NOT INSTALLED Желудочно-кишечный тракт (ЖКТ) — одна из самых сложных и важных систем нашего организма. От его работы зависит не только пищеварение, но и общее самочувствие, иммунитет, настроение. Заболевания ЖКТ встречаются часто и порой доставляют немало проблем. В последние годы появился новый инструмент — генетическое тестирование, который позволяет понять причины болезней ЖКТ на уровне …

Лабораторная диагностика заболеваний ЖКТ: ключ к точному диагнозу

Лабораторная диагностика заболеваний ЖКТ: ключ к точному диагнозу

SQLITE NOT INSTALLED Заболевания желудочно-кишечного тракта (ЖКТ) — тема непростая. Здесь и гастриты, и язвы, и инфекции, и даже серьезные состояния вроде опухолей. Иногда симптомы могут быть размазанными, туманными — боль, дискомфорт, тошнота, нарушение пищеварения. Чтобы докопаться до сути, врачу необходимо не просто внимательно выслушать пациента и провести осмотр. Тут на помощь приходит лабораторная диагностика …

Рентгенологическое исследование ЖКТ: как оно работает и зачем нужно

Рентгенологическое исследование ЖКТ: как оно работает и зачем нужно

SQLITE NOT INSTALLED Когда речь заходит о здоровье желудочно-кишечного тракта, сразу возникает вопрос: как врачу понять, что происходит внутри? Ведь ЖКТ скрыт от глаз, и на прикосновения или симптомы можно лишь частично опираться. На помощь приходит рентгенологическое исследование ЖКТ — важный и информативный метод диагностики, который помогает увидеть то, что скрыто от нас. Сегодня я …

Магнитно-резонансная томография: взгляд изнутри

Магнитно-резонансная томография: взгляд изнутри

SQLITE NOT INSTALLED Магнитно-резонансная томография (МРТ) — это одна из самых современных и информативных методик в медицинской диагностике, которая позволяет заглянуть в самое сердце человеческого организма без единого разреза. Несмотря на то, что название звучит достаточно сложно, суть метода вполне доступна: с помощью сильного магнитного поля и радиоволн врач получает детальные изображения органов и тканей. …

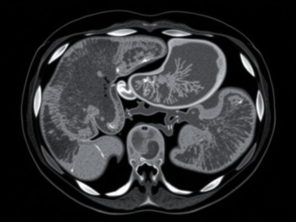
Компьютерная томография при заболеваниях ЖКТ: живые снимки вашего пищеварения

Компьютерная томография при заболеваниях ЖКТ: живые снимки вашего пищеварения

SQLITE NOT INSTALLED Компьютерная томография, или КТ, стала ключевым инструментом в диагностике заболеваний желудочно-кишечного тракта (ЖКТ). Казалось бы, зачем смотреть внутрь, когда живот говорит за себя? Но КТ раскрывает гораздо больше — мельчайшие нюансы, которые не ощутить и не услышать через классический осмотр. Если вы когда-нибудь задумывались, как именно врачи понимают, что происходит внутри живота, …