SQLITE NOT INSTALLED
В связи с насыщенными буднями, плотным графиком работы и постоянной занятостью, современный человек не придаёт особого значения тем тревожным сигналам, которые иногда подаёт наш организм: например, обострённое чувство голода по утрам или нерегулярно возникающее ощущение лёгкой тошноты может длительное время не восприниматься всерьёз, и совершенно зря, ведь данные симптомы зачастую являются свидетельством язвы двенадцатиперстной кишки. Сегодня эта болезнь считается весьма распространённой: как гласит статистика, заболеванию подвержены 10 % населения, при этом большую часть данного показателя составляют мужчины, и в особенности те, которые проживают в мегаполисах. Почему так происходит, как выявить патологию и какие существуют способы борьбы с нею – об этом несколько ниже.
Что означает язва двенадцатиперстной кишки
Такой отдел кишечника, как двенадцатиперстная кишка, состоит из нескольких слоёв: слизистого, подслизистого, а также мышечного. Когда стенка, или, говоря по латыни, дуоденум, данного органа повреждается, образуется дефект, который и называется язвой. Разрушая слизистую и подслизистую оболочки, язва локализуется в мышечном слое, чаще всего её образование происходит в начальном отделе кишки, то есть там, где имеются наиболее оптимальные для неё условия, ведь именно это место подвергается забросу кислого желудочного содержимого и размножению патогенных бактерий, которые, в конечном счёте, и вызывают язвенную болезнь.

Однажды возникнувшая язва даже при её излечении имеет свойство периодически обостряться, течение заболевания в таком случае приобретает чередующийся характер, это говорит о том, что длительные периоды ремиссии, как правило, сменяются фазами обострения, при которых болезнь рецидивирует. Зажившая язва оставляет на стенке двенадцатиперстной кишки рубец, и если впоследствии в этой области возникают другие дефекты, влекущие за собой образование новых рубцов, происходит деформация дуоденума, сужающая в результате просвет кишки.
Среди основных причин, которые провоцируют подобные разрушения, выделяют следующие факторы:
- повышенная кислотность желудочного сока, который при попадании в двенадцатиперстную кишку начинает агрессивно воздействовать на участки её слизистой, приводя к образованию язв;
- проникновение в организм инфекции – бактерии Helicobacter pylori: попав в пищеварительный тракт, эти патогенные микроорганизмы закрепляются жгутиками на дуоденуме и начинают своё активное размножение; аммиак, который они выделяют, способствует повышению уровню кислотности, в результате чего происходит процесс отмирания клеток слизистой с последующим появлением в ней язвенных очагов.
К закислению приводят и некоторые другие обстоятельства, например, курение, чрезмерное употребление алкоголя, крепкого кофе, копчёных продуктов и острых блюд. Нерегулярное питание, частые стрессы, наличие гастрита, генетическая предрасположенность – всё это также является предпосылками к развитию язвенной болезни.
Симптомы заболевания
Максимальную выраженность симптоматика заболевания приобретает в периоды обострения или дальнейших рецидивов, что обычно происходит в осеннее и весеннее время года. Узнать о наличии язвы в двенадцатиперстной кишке можно по определённым клиническим проявлениям.
- Болевые ощущения, локализующиеся в верхней части живота и иррадирующие в правое подреберье, а также в спину. Как правило, подобный дискомфорт начинается спустя несколько часов после еды, что объясняется раздражающим воздействием кислого желудочного сока на повреждённые зоны. По этой же причине боль может появляться и после ужина, то есть в ночное время. Нередко пациенты жалуются на подобные ощущения, возникающие в результате долгого голодания, обычно такие боли прекращаются сразу же после приёма пищи.
- Расстройства диспепсического характера: тошнота, рвота, изжога, вздутие живота, диарея или запор – всё это следствие нарушений, происходящих в пищеварительном тракте.
- Отсутствие аппетита, потеря веса.
Названные симптомы могут проявляться не в полном наборе, у отдельных больных отмечаются только расстройства кишечника или же, наоборот, болевые ощущения, не сопровождающиеся диспепсическими расстройствами.
Как выглядит язва
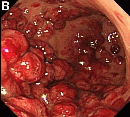
Дефекты, именующиеся язвами, представляют собой повреждения, которые локализуются на стенках двенадцатиперстной кишки. При повышенной кислотности желудочного содержимого начинается процесс разрушения внутреннего слоя данного отдела кишечника, то есть его слизистой части. Образующиеся очаги постепенно увеличиваются в размерах и со временем начинают распространяться вглубь, переходя на следующий слой – подслизистую оболочку. При отсутствии надлежащего лечения язва, как правило, разрушает и мышечную часть ‒ наружную стенку двенадцатиперстной кишки. Подобное явление нередко сопровождается кровотечениями, которые служат сигналом о наступлении критического состояния больного.

Выявить язвенную болезнь можно при помощи такой процедуры, как фиброгастроскопия. Очаги воспаления, визуализирующиеся в ходе исследования, на начальной стадии выглядят как бляшки, которые имеют светлую центральную часть и размытый ярко-красный краевой контур.
Признаки патологии
Так же, как и любому другому заболеванию, язве двенадцатиперстной кишки свойственен свой набор характерных признаков, знание которых позволяет предположить о наличии данной патологии. Так, начальная стадия недуга обычно сопровождается болью, зачастую возникающей на голодный желудок. При пальпации верхней части живота больной испытывает болезненные ощущения. Кроме этого, от пациентов можно услышать жалобы о нередко возникающей изжоге или кислой отрыжке, об отсутствии всякого аппетита и потере веса, являющейся логичным следствием нежелания принимать пищу.
К основным признакам заболевания добавляются и вегетативные расстройства: сильная слабость или повышенная потливость, головные боли или головокружение. На этом фоне общее состояние больного ухудшается: он становится раздражительным, отмечается бледность и сухость кожных покровов, довольно быстро наступает утомляемость, именно поэтому человек, страдающий язвой двенадцатиперстной кишки, ощущает часто желание погрузиться в сон.

В периоды обострения признаки воспалительного процесса заметно усиливаются: боли становятся невыносимыми, они могут ощущаться не только в местах поражений, но также и в лопатках, пояснице. Однако самым ярким и наиболее серьёзным симптомом является рвота, в которой нередко наблюдаются примеси крови. Возникновение данного критического обстоятельства должно служить веской причиной для немедленного обращения за медицинской помощью.
Код по МКБ 10
Международная классификация болезней, содержащая в себе основные сведения о всех изученных заболеваниях, имеет также данные, которые касаются язвы двенадцатиперстной кишки. В целом патологиям органов пищеварения присущи буквенно-цифровые обозначения с пределами от К00 до К93, при этом в рамках от К20 до К31 зафиксированы те недуги, которые могут возникать в пищеводе, желудке и конкретно в двенадцатиперстной кишке.
Болезнь данного отдела кишечника определяется кодом К26. Более подробные шифры, характеризующие вид и характер патологического процесса, выглядят следующим образом:
- К26.0 – острая язва, сопровождающаяся кровотечением;
- К26.1 – острая язва с имеющимся прободением;
- К26.2 – язвенная болезнь острой формы, характеризующаяся и кровотечением, и прободением;
- К26.3 – острая язва с отсутствием кровотечения и прободения;
- К26.4 – хроническая или неуточнённая язвенная болезнь со свойственным ей кровотечением;
- К26.5 – язва хроническая или неуточнёная, сопровождающаяся прободением;
- К26.6 – хроническая или неуточнённая язва, которой присущи и кровотечение, и прободение;
- К26.7 – язвенная болезнь хронической формы с отсутствием кровотечения и прободения;
- К26.9 – острая или хроническая язва неуточнённой этиологии без кровотечения и прободения.
Данные коды служат для фиксации заболевания и его типа: как правило, они указываются специалистом в диагнозе текущей истории болезни пациента.
Диагностика
Чтобы подтвердить или опровергнуть наличие язвы, в первую очередь, нужно посетить врача-гастроэнтеролога, который направит на все необходимые исследования.
На сегодняшний день самым точным методом диагностики по-прежнему остаётся фиброгастроскопия – процедура, проводящаяся при помощи специального прибора, эндоскопа, который вводится через ротовую полость и погружается в желудок и двенадцатиперстную кишку. Подобный метод позволяет оценить состояние слизистой, выявить имеющиеся на ней дефекты, определить их размер, цвет, расположение. Кроме того, преимуществом фиброгастроскопии является возможность осуществления биопсии тканей или забора образца слизистой по краю очагового поражения – это делается для того, чтобы установить наличие или отсутствие главного возбудителя заболевания, бактерии Helicobacter pylori. Определить патогенные микроорганизмы можно и лабораторным путём, всё, что для этого нужно, ‒ забор крови из вены больного.
В некоторых случаях пациенту рекомендуют рентгенологическое исследование, целью которого также является обнаружение язвенной и рубцовой деформации дуоденума.
Лечение язвенной болезни
Подтверждённое в ходе диагностирования заболевание требует начала немедленного лечения. Схема терапии главным образом зависит от причин, вызвавших развитие патологического процесса, а также от тех результатов, которые были получены методом фиброгастроскопии или рентгена.

Начальная стадия заболевания допускает лечение медикаментозным способом, обычно в рамках подобной терапии применяют лекарственные средства следующих групп:
- антибиотики, главная задача которых – уничтожить бактерии Helicobacter pylori («Амоксициллин», «Тетрациклин», «Кларитромицин»);
- антисекреторные препараты, подавляющие желудочную секрецию и нейтрализующие агрессию желудочного сока («Омепразол», «Гастроцепин», «Нексиум»);
- антациды, также направленные на снижение негативного воздействия соляной кислоты на дуоденум («Маалокс», «Фосфалюгель», «Алмагель», «Алмагель Нео»);
- гастропротекторные средства, которые обволакивают поражённую слизистую, защищая её тем самым от нежелательного влияния пищеварительных ферментов и чрезмерно повышенной кислотности («Вентер»);
- прокинетики, нормализующие моторику тонкого кишечника и устраняющие диспепсические симптомы в виде тошноты и рвоты («Церукал», «Мотилиум», «Тримедат»);
- анальгетики, основная цель которых снять выраженный болевой синдром («Баралгин»);
- препараты, способствующие улучшению питания дуоденума (витамины группы В, «Актовегин»).
В наиболее сложных случаях применяют хирургическое вмешательство, в ходе которого происходит удаление необходимого участка тонкого кишечника или пересечение нервных ветвей блуждающего нерва.
Народные средства
В качестве дополнительного лечения можно использовать некоторые натуральные средства ‒ это заметно облегчит состояние больного и значительно ускорит наступление периода ремиссии. С целью устранения язвы двенадцатиперстной кишки народная медицина рекомендует использовать масла и отвары из целебных трав.

- Облепиховое масло – отличное вещество, обладающее защитными и обволакивающими свойствами. Принимать данное средство нужно на протяжении 3 недель по 7 мл в утреннее время и натощак. Допускается чередование приёма облепихового масла с мёдом.
- Льняное масло ‒ направлено на защиту слизистой оболочки от агрессивного воздействия соляной кислоты. Употреблять данное вещество рекомендуется также на голодный желудок, но чаще ‒ трижды в день.
- Оливковое масло – регулирует уровень кислотности, уменьшает воспалительный процесс, способствует нормализации пищеварительной деятельности. Оптимальный курс, предусматривающий использование этого компонента, ‒ один месяц. Осуществлять приём нужно по следующему рецепту: смешать 10 мл масла с белком одного куриного яйца и выпить натощак. В качестве профилактики рецидива можно использовать смесь оливкового и облепихового масел в пропорциях 1:1 – достаточно всего одной чайной ложки натощак в течение месяца.
- Отвар корня лопуха также поможет снять воспаление. Для этого необходимо примерно 20 г измельчённого сырья залить половиной литра кипятка. Настояв жидкость на протяжении нескольких часов, можно приступать к её употреблению: выпивать такой отвар рекомендуется до 5 раз в сутки по 50-100 мл.
- Отвар календулы: 10 г цветков нужно залить стаканом кипящей воды, после чего разделить полученный объём на 3 порции, принять которые нужно в течение одного дня.
- Отвар травы горца – особенно эффективен при наличии кровотечений. Для приготовления подобной жидкости необходимо столовую ложку сухого вещества залить 500 мл кипящей воды. Употреблять настой следует дважды в день по одному стакану натощак.
Широкую известность при лечении язвенной болезни получили и такие травы, как тысячелистник и зверобой, корень девясила и одуванчика, листья подорожника и лопуха. Все эти ингредиенты в заваренном виде принимаются исключительно на голодный желудок. Сочетание приёма медикаментов и средств народной медицины с соблюдением лечебной диеты – залог успеха на пути к выздоровлению.
Профилактика заболевания
В вопросе защиты организма от развития язвенной болезни тонкого кишечника или возникновении рецидива этого недуга очень важно предусмотреть два основных пункта: не допустить проникновения в пищеварительный тракт бактерии Helicobacter pylori и предупредить повышение уровня соляной кислоты.
Сохранить нормальный показатель кислотности поможет соблюдение следующих правил:
- отказ от курения и чрезмерного употребления алкоголя;
- исключение стрессовых ситуаций, а также состояний, предполагающих нервно-эмоциональное напряжение;
- обеспечение дробного регулярного питания;
- нормализация рациона: отказ от солёных и пряных блюд, от копчёностей, маринадов и консервации.
Избежать заражения инфекцией можно при учёте некоторых других рекомендаций, и, в первую очередь, речь идёт об использовании только чистой посуды. Не допускается есть чужими столовыми приборами, поскольку такие патогенные микроорганизмы, как бактерии Helicobacter pylori, передаются через слюну заражённого человека.
Диета
Снять острую симптоматику при язве двенадцатиперстной кишки одними лекарствами оказывается недостаточно – главное условие, обеспечивающее результат выздоровления, заключается в строгом соблюдении диеты. Наличие дефектов дуоденума является предпосылкой к назначению стола 4г, что предусматривает щадящий характер питания в механическом, химическом и температурном плане. Это говорит о том, что температура употребляемой еды должна составлять 36-37 С. Кроме того, режим приёма пищи должен быть исключительно шестиразовым, в его рамках не допускается наличие чрезмерно горячих или слишком холодных продуктов, а также сухих перекусов.

Вот несколько пунктов, которые необходимо учесть при организации правильного лечебного питания:
- овощи и мясо необходимо отваривать, измельчать и протирать;
- желательно отдать своё предпочтение слизистым кашам, ненаваристым супам, картофельному пюре, макаронам, арбузам и бананам, рыбе и птице, приготовленной на пару;
- обязателен отказ от газированных напитков, алкоголя, крепкого кофе, маринадов и выпечки, таких овощей и фруктов, как яблоки и груши, помидоры и огурцы, капуста и редис, морковь и чеснок;
- главным правилом становится исключение жевательной резинки, которая стимулирует излишнюю выработку желудочного сока.
В периоды обострения необходимо чётко и строго следовать этим рекомендациям, в противном случае приём медикаментов станет абсолютно напрасным занятием, в результате которого эффект выздоровления так и не будет достигнут.
Берут ли в армию с язвой 12 перстной кишки?
Такой вопрос задают многие молодые люди, которые страдают данным заболеванием. Конечно, армия ‒ это не курорт, в условиях усиленной военной подготовки больной не сможет питаться часто и правильно, отдыхать достаточно количество времени, избегать стрессовых ситуаций. Кроме того, обойтись без серьёзных физических нагрузок в процессе несения службы также не получится, а это совершенно несовместимо с язвой двенадцатиперстной кишки.

Даже если болезнь находится в стадии ремиссии и очаговое поражение уже затянулось рубцом, это не говорит о том, что мужчина становится годным для призвания в армию. В неблагоприятных для течения заболевания условиях язва может напомнить о себе в любой момент, что чревато прободением кишки или возникновением сильнейшего кровотечения. В подобной ситуации на счету оказывается важна каждая секунда, поскольку несвоевременная помощь может привести летальному исходу.
Согласно закону, призвать в армию молодого человека, у которого диагностирована язва тонкого кишечника, никто не имеет права, такие мужчины включаются в категорию В, гласящую о том, что они могут нести военную службу, но освобождаются от неё в мирное время. В некоторых случаях может быть присвоена и категория Д, свидетельствующая о полной негодности. Сюда входят молодые люди, имевшие осложнения язвенной болезни: прободение или кровотечения с сопутствующей потерей веса или большого объёма крови.
Раз и навсегда избавиться от язвенной болезни невозможно, однако увеличить периоды покоя и сократить риск обострения патологического процесса под силу каждому. Всё, что для этого нужно: отказаться от вредных привычек и нежелательных продуктов, а также ограничить себя от стрессовых ситуаций. Соблюдая эти простые правила, можно быть абсолютно уверенным, что язва ещё долго не напомнит о себе.
Отзывы
Руслан
У меня язва двенадцатиперстной кишки. Сложным был только тот период, когда она впервые возникла. Пришлось изрядно полечиться, посидеть на диете – всё помогло. Теперь два раза в год, весной и осенью, когда обычно должны случаться обострения, принимаю «Омепразол» или «Омез» ‒ для профилактики. Хочу сказать, что такой подход работает, приступов у меня больше не было, та язва зарубцевалась – проверяли на фиброгастроскопии.
Анна
Знаю, что такое язва не понаслышке. Случилось это со мной, когда мне не было 25 лет: я тогда очень перенервничала, был серьёзный повод. С тех пор каждую весну и осень пью таблетки, в это же время стараюсь придерживаться диетического питания: ем всё отварное и паровое, ничего острого солёного, копчёного и кислого не употребляю. А ещё каждое утро натощак я выпиваю по одной столовой ложке любого масла – оливкового, льняного или облепихового, в общем то, что имеется дома. Думаю, что это тоже помогает.
Арсений
Принимаю очень много препаратов ‒ те, что выписал врач. Ничего из того, что нельзя есть, не ем, но болезненные ощущения иногда появляются снова. Конечно, это не сравнится с той сильной болью, которую я чувствовал при первичном приступе, но, тем не менее, дискомфорт сохраняется. Думаю, всё из-за того, что продолжаю курить, но бросить пока ну никак не могу, хотя пытался уже несколько раз.



